Latest news

Our selection of news where you will be discovering more about the latest conferences, developments and techniques

Bunions or “a stone in my shoe”

Bunions are widespread in the population and definitely one of the most prevalent conditions in our foot and ankle clinic. Some ...

Is my ankle broken?

Only in the UK, more than 1.5 million people attend A&E each year with ankle injuries. It is the most commonly ...

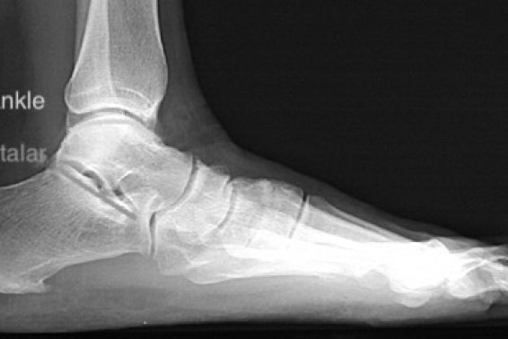
Increasing numbers of stress fractures

During the last few months I have seen an increasingly high number of foot stress fractures in my clinics. My assumption ...

Is foot or ankle surgery painful?

Is foot or ankle surgery painful?This question is frequently asked in clinics, understandably. With the use of modern techniques and the ...

Steps involved in bunion surgery

In bunion surgery, what do they do? What happens during Bunion surgery? Contrary to what some people may think, by “shaving ...

What is foot and ankle surgery?

Foot and ankle surgery is a specialised branch of orthopaedic surgery that focuses on the diagnosis and treatment of conditions affecting ...

What are Hammer Toes?

A multitude of terms are commonly used to refer to deformities of the toes. Hammer toes are one of the most ...

Running injuries – common causes of foot pain in runners

Running has always been high on the charts of sports and physical activity. During the recently enforced lockdowns we saw a ...

Syndesmosis injuries or the “high ankle sprain”

The syndesmosis is formed of a number of ligaments, which as a whole provide integrity between the fibula and tibia, resisting ...

What is tarsal tunnel syndrome?

Ever heard of carpal tunnel syndrome? Well, tarsal tunnel syndrome is its lesser-known cousin, but it's just as important, especially for ...

Understanding arthritis: a comprehensive overview

By definition, arthritis means inflammation of one or more joints. Largely speaking there are two types of arthritis (osteoarthritis and rheumatoid ...

Foot or Ankle pain after running?

Runners are known for placing significant strain to their feet and ankles. Unfortunately this means that the running enthusiast is at ...

Plantar Fasciitis Treatment

What is plantar fasciitis?Also known as Policeman’s heel, plantar fasciitis is one of the most common causes of heel pain. The ...

Athlete’s foot - Fungal foot and Toenail infections

What is athlete's foot?Fungal foot infections, commonly known as athlete's foot, are a widespread concern affecting many, including athletes, swimmers, and ...

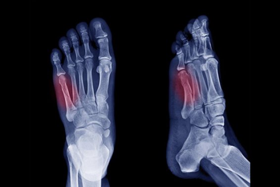
The 5 most common fractures around the foot and ankle

Fractures, or broken bones, are common and temporary debilitating injuries. However, with appropriate treatment, patients can often regain their previous level ...

Ingrown toenails causes, symptoms and treatment

What are Ingrown Toenails?Ingrown toenails are a common condition, typically affecting the big toe. They occur when the toenail, particularly at ...

What scan do I need for my painful foot?

Within the domain of foot and ankle treatments, accurate diagnosis plays a crucial role in ensuring effective patient care. Various imaging ...

Achilles Tendon Tears: Is surgery needed?

Achilles tendon tears can be a debilitating injury, often raising the question of whether surgery is the best course of action. ...

Mr Malagelada was Faculty at the AO course in Cambridge

During two days Mr Malagelada attended The AO Trauma Blended Course – Foot & Ankle Trauma and Reconstruction as faculty. After ...

What is a bunion? Is surgery needed?

A bunion, medically known as hallux valgus, is a deformity characterised by a lateral deviation of the big toe towards the ...

The RICE treatment for ankle sprains

An ankle sprain occurs when the ligaments around the ankle are stretched or torn due to sudden twisting or rolling of ...

Orthotics for Plantar Fasciitis Pain

What is plantar fasciitisPlantar fasciitis is one of the most common causes of heel pain. The plantar fascia is a strong ...

What is bone a fracture and how long does it take to heal?

A bone fracture occurs when there is a break or a crack in the continuity of a bone, disrupting its normal ...

What is keyhole surgery? And what are its benefits?

Keyhole surgery, a term used colloquially to describe minimally invasive procedures, has become a game-changer in the realm of foot and ...

Anti-inflammatories in ankle sprains

Ankle sprains are frequently seen and treated in our clinics. Not surprisingly they are one of the most common musculoskeletal injuries ...

Exploring the anatomy of the foot and common conditions

The human foot is a marvel of engineering, a complex structure that bears the weight of our entire body and facilitates ...

Podiatrist or orthopaedist? Which foot and ankle specialist do you need?

Foot or ankle pain? Well not to worry, because we know a thing or two about foot and ankle health treatments! ...

Ankle sprain exercises to do at home

Suffered an ankle sprain? In this article we will go over how you can tell an ankle sprain vs an ankle ...

Plantar fasciitis exercises for effective heel pain relief

Plantar fasciitis is a common condition causing heel pain, affecting millions each year. It arises from inflammation of the plantar fascia, ...

Ganglion cysts: causes symptoms and relief strategies

Ganglion cysts are fluid-filled sacs that most commonly appear on the back of your wrist or hand. However, they can also ...

Calf Tightness: A Comprehensive Guide to Causes, Symptoms, and Relief

Calf tightness is a common complaint, affecting people of all ages and activity levels. It can range from a mild annoyance ...

Podiatrist or orthopaedist? Which foot and ankle specialist do you need?

Foot or ankle pain? Well not to worry, because we know a thing or two about foot and ankle health treatments! ...

Ankle sprain exercises to do at home

Suffered an ankle sprain? In this article we will go over how you can tell an ankle sprain vs an ankle ...

Foot and ankle surgery: do you need it

Our feet and ankles play a crucial role in our daily lives, providing stability, support, and mobility. Unfortunately, any structures as ...

Whom should I see for foot or ankle pain in London?

Foot or ankle pain? Well, not to worry - it’s surprisingly common. Given that foot or ankle pain can stem from ...

What ankle pain can be treated by an orthopaedic surgeon

An orthopaedic surgeon is a medical specialist who is extensively trained in the diagnosis and treatment of diseases and injuries of ...

What foot pain can be treated by an orthopaedic surgeon?

An orthopaedic surgeon is a highly trained medical specialist focused on diagnosing and treating conditions and injuries of the musculoskeletal system. ...

What is Morton’s neuroma and how can it be treated

Morton’s neuroma is a painful condition affecting the foot, specifically the nerve tissue between the metatarsal bones. It commonly occurs between ...

Diabetic Foot Care: Tips to Prevent Complications

Roughly 10% of UK adults have diabetes. Diabetes can lead to foot problems primarily due to two major complications: nerve damage ...

Orthopaedics in London: what do they do?

An orthopaedic surgeon specialises in diagnosing, treating, and preventing disorders related to the musculoskeletal system, which includes bones, joints, ligaments, tendons, ...

What are ankle sprains, and how do you treat them?

An ankle sprain is a common injury that occurs when the ligaments supporting the ankle joint are stretched or torn - ...

How can you strengthen your ankle? A London Foot & Ankle Specialist Explains

The ankle joint is a complex structure that supports your body's weight and allows for a wide range of movements. It ...

Treatments at Foot & Ankle Specialists in London

We probably don’t need to remind you how important your feet or ankles are. These areas of the body are intricate ...