Orthopaedic London | Foot and Ankle Treatments | Our Patients
For a timeline of expected recovery times and pictures please see the commonest surgeries below:
Recovery
The postoperative course will depend on the specifics of the operation, but these are a few examples of commonly performed procedures (these are only meant to serve as a reference and timeframes can vary depending on each particular case)
Minimally Invasive Bunion Surgery
Minimally Invasive Bunion Surgery
Overview: Surgery Type : Daycase (or 1 night stay) -- Anaesthesia : Regional Block + Sedation / General -- Return to Work : 7-10 days office based / 5 weeks standing -- Orthotic : Flat stiff-soled shoe
- Before and after – Left foot minimally-invasive bunion surgery
Before
After
- Day 0 – In recovery with the post-operative bandage

- Day 0 – About to leave the hospital with the post-operative shoe on to allow walking from the day of surgery.

- Week 1 after surgery – First follow-up appointment. Dressings removed and wound checked.

- Week 2 after surgery – Second follow-up appointment. All dressings removed and silicone spacer applied for the next 3 weeks. Transitioning on into normal shoes

- Week 4 after surgery – Wearing trainers and socks

- Final outcome – At 6 months after surgery.

- Gallery of minimally invasive wounds
– A. At 3 months from surgery. B. At 4 months from surgery
Arthroscopic surgery for footballer’s ankle
Arthroscopic surgery for footballer’s ankle
Overview: Surgery Type : Daycase -- Anaesthesia : Regional Block + Sedation / General -- Return to Work : 7-10 days office based / 3 weeks standing -- Orthotic : Crutches for 1 week
- Arthroscopy – Arthroscopic equipment used to perform keyhole surgery and visualize the ankle joint.

- Day 0 – Images obtained during surgery – Note the scar tissue and bone spur at the front of the ankle.

- Day 0 – In recovery with ankle soft bandage
- Day 0 – Leaving the hospital in crutches
- Week 1 after surgery – First follow-up appointment. Dressings removed, wound checked and to start physiotherapy.
- Week 4 after surgery – Second follow-up appointment. Return to all previous activities.
Big toe replacement for arthritis
Big toe replacement for arthritis
Overview: Surgery Type : Daycase (or 1 night stay) -- Anaesthesia : Regional Block + Sedation / General -- Return to Work : 7-10 days office based / 3 weeks standing -- Orthotic : Flat stiff-soled shoe
- Synthetic Cartilage Implant – For the treatment of osteoarthritis in the big toe joint. Small button implant that reduces pain without sacrificing movement.

- Day 0 – In recovery with foot bandage
- Day 0 – Leaving the hospital walking in a post-operative shoe. To start gentle toe movements.
- Week 1 after surgery – First follow-up appointment. Dressings removed, wound checked and to start physiotherapy.

- Week 3 after surgery – Wearing 1-inch heels

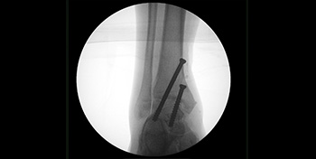
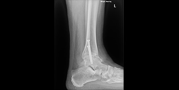
Ankle fracture fixation using arthroscopy
Ankle fracture fixation using arthroscopy
Overview: Surgery Type : Daycase (or 1 night stay) -- Anaesthesia : Regional Block + Sedation / General -- Return to Work : 10-14 days office based / 4-6 weeks standing -- Orthotic : Cast (backslab) then Walker boot
- Fractured ankle – 3D scan reconstruction showing ankle fracture

- Day 0 – Fracture reduction using surgical instruments and plate and screws

- Day 0 – With the use of arthroscopy, small bone fragments were identified floating inside the joint that were removed.
- Day 0 – Leaving the hospital in a cast and crutches.
- Week 1 after surgery – First follow-up appointment. Cast removed and into a boot. To start physiotherapy, weight-bearing depending on fracture type.
- Week 4 after surgery – Wearing trainers and socks
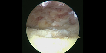
Arthroscopic ankle fusion
Arthroscopic ankle fusion
Overview: Surgery Type : Daycase (or 1 night stay) -- Anaesthesia : Regional Block + Sedation / General -- Return to Work : 10-14 days office based / 6 weeks standing -- Orthotic : Cast for 6 weeks then Walker boot.
- Arthroscopy – Instead of having to open up the ankle joint to perform fusion surgery, the same can be accomplished with the use of Arthroscopy (key hole surgery) leading to faster recovery.
- Healthy vs Damaged cartilage – Arthroscopic view of healthy ankle cartilage on the right and damaged ankle joint on the left.

- Day 0 – X-rays obtained during surgery to ensure correct screw positioning.

- Day 0 – Leaving the hospital in a cast and using crutches.
- Week 2 after surgery – Change into light fibreglass cast and to continue on crutches

- Week 6 after surgery – Into a boot and bearing weight, gentle exercises.

- Week 10 after surgery – Into normal shoes and physiotherapy. Picture showing successful fusion and internal metalwork

Bunionette minimally invasive surgery
Bunionette minimally invasive surgery
Overview: Surgery Type : Daycase -- Anaesthesia : Regional Block + Sedation / General -- Return to Work : 7-10 days office based / 5 weeks standing -- Orthotic : Flat stiff-soled shoe
Benefits – In addition to a smaller incision, the advantage of not having to use metalwork for fixation means that a subsequent operation to remove the screw is not required.
- Day 0 – In hospital prepared for surgery. Two different examples of bunionettes.

- Day 0 – About to leave the hospital wearing the post-operative shoe to allow walking from the day of surgery.

- Week 1 after surgery – First follow-up appointment. The wound is checked and a new bandage is applied to maintain position.

- Week 4 after surgery – Second follow-up appointment. All dressings are removed and transitioning on into normal shoes.

Ganglion removal
Ganglion removal
Overview: Surgery Type : Daycase -- Anaesthesia : Regional Block + Sedation / Local -- Return to Work : 5-7 days office based / 2 weeks standing -- Orthotic : Normal shoe
- Ganglion located on the side of the ankle, causing much discomfort during hikes or when wearing ski boots. US aspiration had been unable to fully drain it.

- Day 0 – Just after surgery ready to go home. Soft bandage over the ankle to allow wearing normal shoes

- Week 1 after surgery - First follow-up appointment. Wound checked and dressing removed.

- Week 2 after surgery – Return to normal activities including long walks, cycling.
Orthopaedic London | Foot and Ankle Treatments | Your Journey
Booking
You may be referred to us by your doctor or physiotherapist and you may also self-refer. We can see you at short notice at any of our central London locations.
To book your appointment you can do so by calling our office on 0207 341 5010 or by filling out this online form.
New patient registration form
Only required once for new patients, and not for follow-ups. It usually takes 2-3 minutes to complete. You can also complete it ahead of your appointment during your own time.
History taking
I will receive you in the consultation room where you will tell me about your foot and/or ankle concerns. I might ask some questions that will help me understand the full picture of your condition.
Examination
Following the initial “history taking”, I will proceed to examine your feet and ankles. You will be invited to remove your shoes and socks, so a number of gentle tests can be performed.
Discussion
I will explain the findings observed during the examination in lay terms and come up with a diagnosis for the condition/s that your are dealing with.
Investigations
To confirm the suspected diagnosis further investigations are ordinarily needed. Typically these involve one or more imaging tests. (X-rays, Ultrasound, CT-scan, MRI-scan). They could also include blood tests or other imaging modalities. I will explain the nature of the required investigation during our consultation
Next steps
Hopefully at the end of the consultation you will be at ease with the condition that has been bothering you. I am confident that after time and treatment you will be able to see significant improvement. Before seeing you off I will inform you of the next steps.
Payments
We accept insured, self-funding or embassy-sponsored patients.
Self-funding
As a self-funded patient we will guide you through the costs of your consultation, investigations and treatments prior to these being undertaken. Please contact the office for advice.
* Ask about Self-pay Packages for surgical interventions (all-inclusive), and Flexible payment plans to finance your treatment. Free initial consultation when purchasing the Self-pay Package.
Insurance
Mr Malagelada is recognised as a Specialist Consultant Orthopaedic Surgeon by all the major insurers. As such, the costs of your consultation with me, investigations, and treatment are covered by your policy. Please contact your insurance company prior to your first consultation to obtain an authorisation number to see me. It is my philosophy not to charge patients in excess of the health insurers established limits. Please note that insurance companies do not usually cover costs of orthotics, post-operative shoes, walking boots, braces or crutches which are the responsibility of the patient.
Accepted insurers include the following; for others please ask the office:

Embassy
If you are being sponsored by your government, all we need to arrange your care is a signed “letter of guarantee” from your sponsor authorizing payment for your tests or consultation. We could help you with this process as we have vast experience in dealing with embassies.
International Patients
With established experience in treating international patients, we will guide you through the enquiry process to make it very simple for you and your family. We can arrange treatment for overseas patients, either through an Embassy, sponsoring organisation or directly from your country of residence. Our team of international coordinators will help you arrange appointments, assist with hospital admissions and provide recommendations and guidance throughout your stay. Online virtual appointments and second opinions are also available to offer you the best experience from the comfort of your home.
من خلال خبرتنا الراسخة في علاج مرضى على الصعيد الدولي، سنوجهك من خلال عملية الاستعلام لجعلها بسيطة وسهلة للغاية لك ولعائلتك. يمكننا ترتيب العلاج للمرضى في الخارج، اما من خلال سفارة او منظمة راعية او مباشرة من بلد اقامتك. فريقنا المكون من منسقين دوليين سيساعدك في ترتيب المواعيد، كما في معاملة دخول المستشفى بالاضافة الى تقديم التوصيات والارشادات طوال فترة اقامتك. المواعيد الظاهرة عبر الإنترنت والآراء الثانية متاحة ايضاً لتوفر لك أفضل تجربة وانت مرتاح في منزلك.
憑藉在治療國際患者方面的豐富經驗,我們將指導您完成查詢過程,以使您和您的家人變得非常簡單。 我們可以通過使館,贊助機構或直接從您的居住國為海外患者安排治療。 我們的國際協調員團隊將在您整個住宿期間為您安排約會,協助醫院住院並提供建議和指導。 在線虛擬約會和第二意見也可為您提供家中舒適的最佳體驗。
Имея большой опыт лечения иностранных пациентов, мы поможем вам пройти процесс заполнения медицинской анкеты, чтобы сделать его очень простым для Вас и Вашей семьи. Мы можем организовать лечение зарубежных пациентов через посольство, спонсорскую организацию или непосредственно из страны вашего проживания. Наша команда международных координаторов поможет вам записаться на прием, поможет с госпитализацией и предоставит советы/рекомендации на протяжении всего вашего пребывания. Для вашего удобства также доступны онлайн консультации, а также «экспертное мнение второго врача».
Avec une expérience établie dans le traitement des patients internationaux, nous vous guiderons tout au long du processus d'enquête pour le rendre très simple pour vous et votre famille. Nous pouvons organiser le traitement des patients à l'étranger, soit par le biais d'une ambassade, d'un organisme parrain ou directement depuis votre pays de résidence. Notre équipe de coordinateurs internationaux vous aidera à organiser vos rendez-vous, vous assistera dans les admissions à l'hôpital et vous fournira des recommandations et des conseils tout au long de votre séjour. Des rendez-vous virtuels en ligne et des seconds avis sont également disponibles pour vous offrir la meilleure expérience dans le confort de votre foyer.
Contamos con una amplia experiencia en el tratamiento de pacientes internacionales, para facilitarle a usted y a su familia el trámite de la consulta médica sin preocupación alguna. Nos encargamos de todo el proceso para aquellos pacientes que se encuentren en el extranjero, ya sea a través de una Embajada, un seguro médico, o directamente con el paciente desde cualquier país de residencia. Nuestro equipo de coordinadores internacionales le ayudará a concertar citas, le asistirá con los ingresos hospitalarios y le orientará durante toda su estadía. Si lo desea, también ponemos a su disposición citas virtuales online y servicio de segundas opiniones para una fantástica experiencia desde el confort de su hogar.