Orthopaedic London | Foot and Ankle Treatments | Our Treatments
Scroll down for a list of conditions and treatments
The foot and ankle are two of the most complex musculoskeletal regions in our body. A multitude of conditions can affect their function and hold back patients from enjoying an active lifestyle. As a medical professional specializing purely in the treatment of foot and ankle conditions my goal is to provide patients with the best available solutions that stem from cutting-edge research.
Helping you understand these conditions is the first stage of the treatment that I will provide.
My personal contribution to research allows for a patient-centered and evidence-based practice for the benefit of my patients. This is exemplified below in the treatments provided and our own research contribution in each field:
Latest Treatments
Ankle
Foot
Latest Treatments
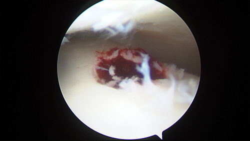
Ankle Arthroscopy
Ankle Arthroscopy
Description:
Arthroscopy, or otherwise known as “keyhole” surgery, is a specialised procedure performed using a small camera and designated instruments that are inserted into the ankle joint through small “holes” (of 5 mm). This minimally invasive technique has evolved in the last few years and currently most of the surgeries that had classically required of long skin cuts and incisions to expose the whole ankle joint can be performed with tiny cuts. The benefits are many and include a faster recovery, day case instead of inpatient surgery, fewer complications, and almost invisible scars.
Our research:
One of my publications was featured in the most influential journal in orthopaedic surgery (Journal Bone & Joint Surgery – America). A complete review of current concepts entitled “Ankle Arthroscopy – an update” has become an article of reference, describing the state of the art in all aspects related to this technique. Link to article
Minimally invasive surgery (MIS) or minor incision surgery of the foot and ankle
Minimally invasive surgery (MIS) or minor incision surgery of the foot and ankle
Description:
MIS uses the smallest possible incision or skin holes (generally of 5 millimeters or less) in order to perform surgery. With the use of special instruments, precise bone cuts and fixation can be achieved without the need for large scars. It is different from arthroscopy or “keyhole” surgery in the sense that MIS uses X-rays instead of a camera to visualize the actions of surgery. This is because MIS is used for procedures that are performed in bones whereas arthroscopy is performed in joints where there is space to insert a camera. Both procedures share some of the benefits as opposed to open surgery, which include faster recovery and better cosmetic results.
Our research:
As a relatively new technique, MIS is expanding, and more surgeons are learning about and performing these techniques. I am a regular faculty member in courses that focus on teaching MIS techniques to surgeons from all over the world. Course flyer
Fracture healing stimulator
Fracture healing stimulator
Description:
Some fractures may not heal according to the expected timeline or may fail to heal properly. In such cases, an operation can be considered or we can provide you with a home-based non-invasive novel treatment that is safe and effective to promote bone healing. It is based on a technology supported by the National Institute for Clinical Excellence (NICE) that uses low intensity pulsed ultrasound (LIPUS).
Our research:
My experience in treating fractures with LIPUS has proven very helpful for our patients, helping them to heal fractures quicker with the advantage of being risk and pain free. Ask our team if you want to know more and bring the treatment home.
Viscosupplement injections
Viscosupplement injections
Description:
Normal healthy joints are bathed in synovial fluid, which is formed of molecules like hyaluronic acid. This natural component provides lubrication and the adequate cushioning to allow for good joint gliding and function.
Our approach:
Joints in the foot and ankle affected by osteoarthritis lose their cartilage lining becoming painful. An injection with high-level supplements of this natural joint component will provide protective effects on the cartilage and relieve pain with a simple intervention in clinic.
Bone substitutes
Bone substitutes
Description:
Bone grafting is a common procedure in orthopaedic surgery in which bone voids are filled with the patient’s own bone harvested from other areas (involving an additional operation). Bone voids or defects are encountered in approximately 10% of trauma and orthopaedic surgeries. Recent developments have introduced synthetic and biocompatible materials that fill the void without the need for an additional operation to take the graft from the patient).
Our research:
One of the hypothesis investigated during my PhD revolved around the novel application of bone graft substitutes in the foot to assess their benefits during surgery.
Shockwave Therapy
Shockwave Therapy
Description:
Extracorporeal Shockwave therapy (ESWT) or Shockwave therapy for short is a non-invasive treatment that improves pain caused by a number of conditions, like Achilles tendonitis or plantar fasciitis. The device that produces specific sound waves is applied on the skin and stimulates a healing response in damaged tissue.
Our approach:
Shockwave therapy has an extremely safe profile as described in the guidance by The National Institute for Care and Health Excellence (NICE), and it has proven to be an effective alternative to surgery.
Stem Cells
Stem Cells
Description:
Stem cell therapy is a revolutionary advancement in medicine. Some cells in our body, generally extracted from the bone marrow via a needle, have the capacity to regenerate into healthy tissues after these being damaged. In the field of orthopaedics Stem Cells are mainly used in cases of cartilage damage or Osteochondral lesions as an adjunct to help improve the body’s natural healing response. These techniques include the so-called AMIC (Autologous Matrix-Induced Chondrogenesis) to recreate damaged cartilage and MAST (Matrix-Associated Stem Cell Transplantation).
Our research:
An international study that I co-authored surveyed thousands of surgeons and provided valuable insights on the treatment of ankle osteochondral lesions including the use of stems cells. Other studies on the benefits of stem cells are currently underway. Link to article
Ankle
Ankle sprains
Ankle sprains
Description:
Sprains are common injuries affecting the ligaments and muscles. Ligaments hold the bones forming the ankle joint together and can be damaged after a twisting injury. Patients experience acute pain or weakness and the ankle appears swollen, bruised and tender.
Treatment:
Most ankle sprains will heal with rest and anti-inflammatory medication followed by physiotherapy. Only those severe cases that fail to heal may require keyhole surgery.
Our research:
As one of the commonest ankle injuries, it has attracted significant attention as one of my research topics, leading to new insights in the treatment of sprains, on how to prevent them and how to repair them surgically. Link to studies.
Ankle instability
Ankle instability
Description:
May occur in rare cases where torn ligaments fail to heal and the ankle “gives way” regularly.
Treatment:
An intense course of physiotherapy and ankle training are the base of treatment. Severe cases may require keyhole surgery (arthroscopy) and ligament reconstruction.
Our research:
The bulk of my research studies is based on this condition and it revolves around a novel technique that repairs the ligaments with keyhole surgery. Link to published surgical technique
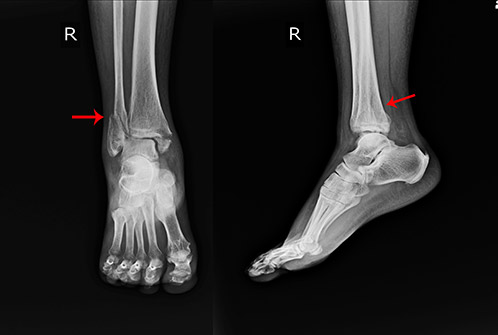
Ankle fractures
Ankle fractures
Description:
Ankle fractures occur when the bones in the ankle joint sustain a break as a consequence of an injury. Pain, swelling, bruising, tenderness and difficulty to bear weight are all common after ankle fractures.
Treatment:
The severity of the fracture as seen on an X-ray will determine the type of treatment that can range from a few weeks of leg support in a boot or surgery to fix the broken bones.
Our research:
I was awarded a grant to attend an American Academy of Orthopaedic Surgeons (AAOS) course in Baltimore, USA to discuss the management of difficult fractures amongst experts “Daily Dilemmas in Trauma: Your topics, expert solutions”. Staying up to date and engaging in continued debate with peers is a key part of our profession in this day and age. Link to AAOS Courses
Ankle osteoarthritis
Ankle osteoarthritis
Description:
The protective cartilage lining covering the end of your joint suffers wear and tear, causing pain, swelling and stiffness. Possible causes of osteoarthritis include joint injury, overuse, genetics or ageing. Any joint in the body and in the foot can be affected by osteoarthritis.
Treatment:
The mainstay of treatment for osteoarthritis is a combination of non-surgical measures, including painkillers, physiotherapy and injections that tackle inflammation and help preserve the cartilage and lubricate the joint. End-stage arthritis may benefit from keyhole or joint replacement surgery.
Our research:
During one of my international visitations I had the opportunity to learn from two of the most renowned surgeons in the field of ankle osteoarthritis, Dr Knupp and Dr Hintermann in Switzerland. Joint preserving (osteotomies) as well as total ankle replacements are some of the available treatments for ankle osteoarthritis.
Osteochondral lesions
Osteochondral lesions
Description:
A layer of cartilage covers the bones where they meet in the joints, acting as a cushion to allow smooth movement. Osteochondral lesions occur when an area of this cartilage lining is damaged. They can cause pain, clicking, locking, grinding and giving way in the ankle joint.
Treatment:
Mild lesions will likely heal with physiotherapy. More severe lesions may necessitate keyhole surgery.
Our research:
The treatment of osteochondral lesions has been the topic of a review chapter edited by an international foot and ankle society that I was commissioned to author. Link to review chapter
Footballer’s ankle (anterior impingement)
Footballer’s ankle (anterior impingement)
Description:
This occurs when bone spurs at the front of the ankle pinch the soft tissue resulting in pain and decreased movement. It is most common in athletes who repeatedly perform kicking such as footballers.
Treatment:
An initial course of physiotherapy aiming to reduce the effects of pinching. If the pain persists, keyhole surgery to remove the bone spur may be required.
Our research:
In a recent study that I authored an anatomical ligament was discovered which helped provide insight on some of the structures causing impingement syndromes in the ankle. Link to study
Posterior impingement
Posterior impingement
Description:
An overgrowth or swelling of ligaments at the back of the ankle can restrict the movement as they get pinched by the bones of the shin and heel. It can also be caused by an additional small bone called "os trigonum". This is most common in athletes who require their foot pointing down in forced positions such as dancers.
Treatment:
Specific physiotherapy that intends to stretch the ligaments at the back of the ankle is the first line of treatment. If pain persists, keyhole surgery to smoothen the ligaments and bones may be required.
My contribution:
What is now a famous scientific paper that we published back in 2012, served as a reference to provide a detailed description of the ankle ligaments involved in posterior impingement syndromes. This study has become a scientific success for foot and ankle surgeons worldwide, being the most downloaded article in the history of the Journal. Link to article
Achilles tendinopathy or tendinitis
Achilles tendinopathy or tendinitis
Description:
The Achilles is a broad tendon located at the back of the ankle just above the heel bone and being the strongest tendon in the body also means that it is prone to overuse injuries. The tendon then suffers from tendinopathy and it is painful even during low demand activities like walking.
Treatment:
In a majority of cases non-surgical treatment is enough to treat the inflammation related to overuse injuries, ranging from physiotherapy and modification of activities to anti-inflammatory drugs.
Our research:
A study that I presented at a European sports orthopaedics meeting sheds some light onto the still relatively unknown causes of overuse injuries or tendinopathy in the Achilles. With this contribution, advances were made towards finding the best possible treatment for such injuries. Link to the study.
Achilles tendon rupture
Achilles tendon rupture
Description:
The Achilles tendon can snap and this injury is seen frequently in sportsmen/women. Following a sharp pain at the back of the ankle the leg becomes weak and tiptoeing is difficult.
Treatment:
If misdiagnosed or left untreated, the ruptured Achilles is unable to activate the muscles and a limping gait develops with weakness in the leg and limitation for sports and daily activities. Early treatment with a cast and a special boot can provide excellent results and return to sports. Some cases that are diagnosed late may require surgery.
Our research:
Along with my fellowship directors we published a review article on the topic of the challenging Achilles ruptures that are initially missed or undiagnosed. The article remains a reference in the treatment of chronic Achilles rutpures. Link to study.
Peroneal tendon problems
Peroneal tendon problems
Description:
There are two peroneal tendons that run along the side of the ankle and foot. They can cause a number of conditions including tendinitis (pain and swelling), tears or dislocation (constantly moving in and out of their path)
Treatment:
Depending on the condition patients will benefit from a period of physiotherapy, podiatric insoles or surgery when all other measures fail to improve symptoms.
Our research:
A study that I authored on peroneal tendons keyhole surgery provides a step-by-step description for surgeons in order to accurately perform this novel surgery. Link to published technique.
Subtalar joint conditions
Subtalar joint conditions
Description:
The subtalar joint is located directly below the ankle joint and provides the side-to-side movement to the foot. Disorders of this joint normally cause pain and/or difficulty when walking on uneven surfaces.
Treatment:
Depending on the type of problem patients may benefit from biomechanical analysis to address any misalignment with insoles and physiotherapy. Arthroscopy of this joint is an innovative treatment that facilitates surgical strategies including subtalar fusion surgery.
Foot
Bunions (hallux valgus)
Bunions (hallux valgus)
Description:
A bunion is a very common foot deformity also known as hallux valgus. As a consequence a bony bump sticks out at the base of the big toe. Bunions can be painful and make wearing shoes difficult.
Treatment:
Adequate wide-fitting shoes are the best way forward to avoid painful bunions. Other non-surgical treatments include spacers, splints and painkillers. Only when they cause daily pain and difficulty to find adequate shoes may an operation be advised.
Our research:
As part of my PhD I authored a scientific review on the topic of minimally invasive bunion surgery in order to find out which are the best available techniques that provide the best outcomes. In concluded in a publication in an American Journal. Link to the review article.
Big toe osteoarthritis (Hallux rigidus)
Big toe osteoarthritis (Hallux rigidus)
Description:
The protective cartilage lining covering the end of your joint suffers wear and tear, causing pain, swelling and stiffness. Possible causes of osteoarthritis include joint injury, overuse, genetics or ageing. Any joint in the body and in the foot can be affected by osteoarthritis. When the big toe joint suffers osteoarthritis it is also termed hallux rigidus as it commonly causes a stiff or rigid toe that causes difficulties when walking. At times, a gout attack can resemble some features of hallux rigidus although the treatment will differ significantly.
Treatment:
The mainstay of treatment for osteoarthritis is a combination of non-surgical measures, including painkillers, physiotherapy and injections that tackle inflammation and help preserve the cartilage and lubricate the joint. End-stage arthritis may benefit from toe fusion or small joint replacement surgery.
Our research:
During my fellowship I published on a series of patients that underwent a novel technique to solve the challenging problem of severe osteoarthritis. The outcomes following the technique were excellent and provided high satisfaction levels. Link to the article
Tailor’s bunion (bunionette)
Tailor’s bunion (bunionette)
Description:
This is the equivalent of a bunion but in the little toe. Patients develop a bony bump that causes pain when rubbing on shoes.
Treatment:
In most cases bunionettes can be treated without surgery by using wide toe-box shoes, orthotic padding and spacers as well as painkillers. When all these measures fail surgery may be required.
Our research:
It was a great honour to be awarded a prize for the best study presented at an international congress of foot and ankle surgery. This study described a safe technique to perform minor-incision surgery for bunionette. Link to the study
Lesser toe deformities
Lesser toe deformities
Description:
The lesser toes can experience a variety of deformities that can be painful for the patient and lead to skin corns, callosities and bony lumps. Some of the most common deformities include hammer toes, claw toes or mallet toes.
Treatment:
nitial stages of the deformity can be treated with podiatric insoles or padding. When the toe deformity progresses and becomes rigid surgery may be required to straighten the toe.
Our research:
I take an active teaching role in courses that are intended to train surgeons in the latest techniques available in foot surgery. One of the topics I commonly teach about is lesser toe deformities and treatments. Course information
Sesamoid pain
Sesamoid pain
Description:
In the foot there are small sesamoid bones that are embedded in a tendon that glides smoothly on a bigger bone. The most common painful sesamoid is in the ball of the foot under the big toe and is a common cause of resistant pain in runners.
Treatment:
A guided modification of the running style or gait pattern is the best treatment with the help of podiatric insoles and physiotherapy. In very rare cases of severe injuries surgery may be required.
Our research:
The podiatrists I work with have extensive experience in the provision of custom-made insoles which are an important treatment for the most resistant cases of sesamoid pain.
Morton’s neuroma
Morton’s neuroma
Description:
This is the term used to describe an inflamed nerve that runs between the toes and when pinched between bones causes pain when walking, usually described as if “walking on a pebble”.
Treatment:
Non-operative treatment is the norm with footwear modification, insoles and an injection. Surgery is rare but indicated in severe cases.
Our research:
We investigated how nerves can be protected from injury during surgery by studying a group of junior surgeons performing mock surgery at a course I was teaching in. Safety first when it comes to surgery, and courses are the best way to learn for junior trainees. Link to the article
Foot Fractures
Foot Fractures
Description:
There are 26 bones in the foot and they are vulnerable to break with trauma.
Treatment:
The majority of foot fractures heal by themselves with the use of a walking boot for a period of time and anti-inflammatories. Those fractures with bone ends too far from each other (or too displaced) to heal by themselves will require surgery to be corrected.
Our research:
The heel bone or calcaneum is the largest of the foot bones. We have published the results of a surgical technique that uses minor-incision surgery to fix severe fractures providing faster return to activities. Link to the article
Stress fractures
Stress fractures
Description:
Stress fractures are the result of excessive or repetitive forces applied over a particular bone. Activities such as running can cause microscopic cracks that cause pain and difficulty to bear weight.
Treatment:
A gait analysis is key to modify the areas of overloading in the foot. After an initial period of protected walking in a boot, the adequate insoles and physiotherapy will prevent future stress fractures. Surgery is commonly not required in this condition.
Our research:
The expert team of physiotherapists and podiatrists I work with are specialists in running activities so they can not only treat any injuries but also help you improve your gait and prevent running related injuries.
Plantar fasciitis
Plantar fasciitis
Description:
The plantar fascia is a strong ligament that runs along the sole of the foot and when overloaded it can cause heel pain.
Treatment:
Non-operative treatments include anti-inflammatories, soft insoles, injections and physiotherapy. In rare instances it may require surgery that is usually performed in the calf muscles to offload the tension they put on the plantar fascia.
Tendon problems
Tendon problems
Description:
A number of tendons run along the foot and they are responsible for moving the toes and foot itself. When overused they can become inflamed, torn or ruptured.
Treatment:
Inflammation or tendinitis requires a restructured training schedule and non-operative measures such as anti-inflammatories, gait training and physiotherapy. Some cases of tendon rupture may require surgery to repair the injury.
Our research:
A study we performed studied the anatomy of the big toe tendon as it runs behind the ankle. The aim of the study was to assist surgeons with a safe technique to perform arthroscopic procedures at the back of the ankle. Link to the article
Flat foot (fallen arch)
Flat foot (fallen arch)
Description:
The arch at the inner side of the foot is a normal feature when standing. In some cases the arch can flatten and as a consequence the foot tendons and joints may suffer. Patients commonly complain of pain and swelling around the ankle and foot.
Treatment:
It is important to investigate the underlying cause of a flat foot. At the early stages it can be treated with physiotherapy and insoles to work on specific muscles that will recreate the fallen arch. When tendons or joints are severely damaged surgery may be required to restore the arch.
Our research:
A study we performed describes a particular type of surgery used to reconstruct flat feet was presented internationally at the American Orthopaedic Foot and Ankle Society (AOFAS) conference and at the SICOT World congress. Link to the study.
Cavus foot (hollow arch)
Cavus foot (hollow arch)
Description:
Opposite to a flat foot, the arch can be over developed and its height be increased. In some cases this is very subtle but it may put higher strain on tendons and make patients prone to sustaining frequent twisting injuries or rolling over their ankles.
Treatment:
A personalized analysis of foot shape and gait analysis will help provide the adequate insoles to address a subtle high arch. Severe cases linked to rare neurological conditions will require reconstructive surgery.
Our research:
A study about high arches in children that we led in London as part of an international collaboration alongside a South African team of surgeons was awarded the South African Orthopaedic Association Literary award. Link to the study
Ganglions
Ganglions
Description:
A ganglion is a sac filled with fluid stemming from a joint or tendon nearby. These are felt as a soft lump and can rub on shoes. They are benign and may change in size depending on the amount of fluid.
Treatment:
Initially shoe wear modification and insoles may be all what is needed. Needle aspiration can drain the fluid away but the ganglion can eventually return in half of the cases. Surgery to remove the sac will provide better results with lesser chances of returning.
Freiberg's disease
Freiberg's disease
Description:
Freiberg’s is a rare disease that affects the metatarsal heads, the bones found in the ball of the foot, causing localised pain. Other medical terms have also been used including osteochondrosis or avascular necrosis to describe what appears to be a reduction in the blood supply to the affected bones. It is believed that constant pressure may be responsible for the condition as it is commonly seen in young ballet dancers.
Treatment:
Depending on the stage of the disease the joint can become increasingly affected leading to loss of cartilage or bone deformity. Initially the treatment will involve controlled activities and offloading insoles. Injections and surgery are reserved for later stages.